Dark Mode Light Mode

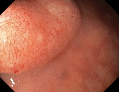
Класифікація поліпів NICE

Класифікація NICE (NBI International Colorectal Endoscopic) базується на вузькосмугових зображеннях поліпів товстої кишки. Класифікація враховує забарвлення, судинний малюнок та поверхневий малюнок для розрізнення гіперпластичних та аденоматозних поліпів товстої кишки. Клінічно ця класифікація використовується для невеликих поліпів (< 5 мм або < 10 мм).

ENDOMAPТип 1Тип 2Тип 3
КолірТакий самий або світліший за фонКоричневий відносно фону (перевірте, що колір походить від судин)Від коричневого до темно-коричневого відносно фону; іноді плямисті біліші ділянки
СудиниВідсутні або можуть бути ізольовані мереживні судини, що проходять через ураженняКоричневі судини навколо білих структур*Має зону(-и) пошкоджених або відсутніх судин
Поверхневий рисунокТемні або білі плями однакового розміру або однорідна відсутність малюнкаОвальні, трубчасті або розгалужені білі структури*, оточені коричневими судинамиАморфність або відсутність малюнка на поверхні
Найімовірніша патологіяГіперпластичне утворенняАденома**Глибокий підслизовий інвазивний рак
Приклад
Ця класифікація може бути застосована за допомогою колоноскопів як з оптичним збільшенням, так і без нього.
Ці структури (правильні й неправильні) можуть бути ямками та епітелієм відкритих крипт.
** Тип 2 складається з 3, 4 і поверхневого 5 типів за Віденською класифікацією (усі аденоми з дисплазією низького або високого ступеня, або з поверхневою підслизовою карциномою). Наявність дисплазії високого ступеня або поверхневої підслизової карциноми може бути представлена неправильним (невпорядкованим) судинним або поверхневим рисунком і часто асоціюється з атиповою морфологією (наприклад, заглиблена ділянка).

1 тип — характерний для гіперпластичного поліпа

Судини: світліші або схожі на навколишні
Поверхня: круговий візерунок з дрібними крапками — візерунок із темнішою ділянкою в центрі, оточений світлішою слизовою оболонкою

2 тип — характерний для аденоми

Колір: темніший (коричневіший), ніж навколишні
Судини: світліша ділянка в центрі, оточена більш товстими коричневими судинами
Поверхня: овальна, трубчаста, звивиста — наявність трубочок, лінійних або пучкових, світла ділянка в центрі, оточена коричневими судинами

Тип 3 — характерний для злоякісної пухлини (ЗМ)

Колір: темніший за навколишнє, коричневий, іноді зі світлішими плямами
Судини: ділянки з перерваними або відсутніми судинами
Поверхня: аморфна або без малюнка на поверхні

Previous Post

Класифікація Форреста

Next Post
фітриноген

Фібрин